Métodos de estudio en psicología y sus características
Los métodos de estudio en psicología son las formas en las que los investigadores de esta ciencia social desarrollan sus conocimientos sobre el comportamiento y la mente humanos. Todos ellos están basados en el método científico; y el uso de unos u otros depende de la situación y del tema de estudio concreto en cada momento.
La mayoría de estos métodos de estudios derivan de otras ciencias, tanto naturales como sociales. Así, por ejemplo, el modelo experimental se utilizó primero en disciplinas como la física o la química. Por otro lado, la observación proviene directamente de la etología; y los métodos estadísticos se usan muy a menudo en sociología y antropología.

A pesar de ello, algunos de los métodos de estudio en psicología son específicos de esta disciplina, y apenas se usan en ninguna otra. Por ejemplo, las entrevistas estructuradas y los estudios de casos son algunos de los más típicos, y han ayudado a avanzar enormemente nuestro conocimiento sobre la conducta humana.
En este artículo estudiaremos los tipos existentes de métodos de estudio en psicología. Además, veremos las principales ventajas y desventajas de cada uno de ellos, así como para qué casos están más indicados.
Los fenómenos relacionados con la conducta humana y el funcionamiento de nuestra mente son muy complejos. Debido a ello, es necesario utilizar diferentes métodos que nos permiten conocer pequeñas partes de ellos. De esta manera, los investigadores pueden ir ensamblando el puzzle de nuestra psicología.
Índice del artículo
Principales métodos de estudio e investigación en psicología
Entrevistas

La entrevista es un método empleado especialmente en el ámbito clínico de la psicología. Consiste en una interacción que tiene lugar entre un especialista y un paciente, en la que se intercambia información enfocada en determinado contexto.
Una de las ventajas de la entrevista psicológica es que en muchas ocasiones surgen elementos que no saldrían a la luz bajo otras condiciones.
El especialista debe guiar la conversación de tal forma que propicie estos momentos de revelación, gracias a los cuales podrá obtener información relevante sobre la situación actual del paciente y las implicaciones de sus emociones y sentimientos.
La entrevista psicológica busca explicar los motivos más esenciales de las conductas de los pacientes. Para ello pueden hacer preguntas cerradas o abiertas; usualmente se aplican ambas, dependiendo del momento de la entrevista en que cada tipo sea el más oportuno.
Sobre todo ante las preguntas abiertas, el paciente tiene la posibilidad de controlar en cierta medida el curso de la conversación; pero en definitiva, el especialista siempre será quien guíe la conversación.
Metaanálisis
A través del metaanálisis se busca sintetizar las investigaciones relacionadas con un área del conocimiento; en este caso, con la psicología. La finalidad del metaanálisis es compilar las conclusiones obtenidas en distintas investigaciones utilizando para ello herramientas estadísticas.
Una de las grandes ventajas del metaanálisis es que permite extrapolar los resultados asociados a un fenómeno a poblaciones mucho más grandes con características similares. Así mismo, resulta más sencillo determinar y corregir las debilidades que puedan existir dentro de cada estudio.
Experimento

El tipo de investigación que proporciona datos más fiables es el experimento. Es el que más se basa en el método científico tradicional, derivado de disciplinas como la química o la física. Se basa en el control de todas las variables posibles salvo dos, las conocidas como “variable independiente” y “variable dependiente”.
En un experimento, los investigadores escogen a una cantidad relativamente alta de personas de manera aleatoria, de entre una muestra representativa de la población en general. De esta manera, cualquier resultado derivado del estudio tendrá que ver exclusivamente con la variable independiente, y no con características de los participantes.
A continuación, los investigadores dividen a los participantes en dos o más grupos. Cada uno de ellos es asignado a una condición de la variable independiente. Por último, se observan las diferencias en los resultados de la variable dependiente, y se comprueba si son estadísticamente significativos.
Por ejemplo, un investigador que quisiera comprobar el efecto de distintos tipos de música en el rendimiento en el trabajo podría coger a 500 empleados de una gran empresa al azar y dividirlos en dos grupos. Ambos tendrían que trabajar en condiciones idénticas, salvo porque uno de ellos escucharía música clásica, y el otro, rock.
En este experimento ficticio, cualquier diferencia entre el rendimiento de ambos grupos tendría que deberse por fuerza al tipo de música escuchado, ya que el resto de condiciones de la situación serían idénticas para todos.
Experimento de campo
A través del experimento de campo es posible que los investigadores manipulen algunas de las variables que se están estudiando sin que los sujetos tengan conocimiento de ello.
La idea de que los individuos no sepan sobre los cambios en las variables responde a que no deben estar predispuestos a estas variaciones; de esta forma es posible apreciar la influencia real que tienen estas variables modificadas en las personas que participan en la investigación.
Este tipo de estudios se lleva a cabo fuera del laboratorio. De hecho, el escenario del experimento variará dependiendo de los objetivos de la investigación.
A pesar de que en estos experimentos es posible manipular las variables, también es cierto que hay mucho menos control de todos los factores que intervienen, debido a que no se llevan a cabo acciones de laboratorio.
En algunos casos quienes participan en un experimento de campo no están al tanto de que forman parte de una investigación, lo que permite tener una aproximación bastante fiel a la incidencia de las variables en sus comportamientos. Esto garantiza un desenvolvimiento más natural de los actores en la situación determinada.
Comparación de grupos
Los diseños de comparación de grupos, tal y como su propio nombre indica, se caracterizan por diseñar un estudio en el que se comparan los resultados entre dos grupos. Dentro de cada grupo se modifican una serie de elementos (variables independientes) con el fin de observar cómo estas afectan en el objetivo de estudio (variables dependientes).
Dentro de la comparación de grupos se pueden constituir distintos diseños experimentales. Los principales son:
- Estrategia univariable: cuando se utiliza un única variable independiente que mide el efecto sobre la variable dependiente.
- Estrategia multivariable: cuando se emplean dos o más variables independientes y su efecto sobre la variable dependiente.
- Estrategia unifactorial: cuando solo se manipula una variable independiente, la cual se operativiza en un número determinado de valores o niveles. Estos valores generan el mismo número de condiciones experimentales a aplicar a los sujetos del estudio.
- Diseño factorial: cuando se manejan de forma simultánea dos o más variables independientes y proporcionan información no solo sobre los efectos específicos de cada una de las variables.
- Diseño intersujeto: cuando se someten grupos diferentes de sujetos a distintas condiciones experimentales. Esta estrategia permite comparar las medidas de las variables dependientes y valorar el efecto de la variable independiente.
- Diseño intrasujeto: cuando cada sujeto del experimento actúa como control o referencia de sí mismo. De esta forma, cada uno de los sujetos proporciona una serie de registros u observaciones que se corresponden con los distintos niveles de la variable independiente.
- Diseño de aleatorización completa: cuando la asignación de los sujetos a las condiciones experimentales se realiza de forma aleatoria. La fuente de datos resulta siempre una muestra representativa del grupo de sujetos que representa.
- Diseño restringido: cuando se emplean técnicas de bloqueo al asignar los sujetos a los grupos.
Caso único
Los diseños de caso único se caracterizan por evaluar un único sujeto. Pueden presentar un componente de interrupción como consecuencia de la aplicación de un tratamiento psicológico.
Este tipo de método experimental evalúa el cambio que genera la aplicación de una intervención determinada en una persona. Los aspectos básicos de los diseños de caso único son:
- Se evalúa el componente temporal de la intervención.
- Se evalúa la interrupción que realiza la intervención.
- Se lleva a cabo un registro sucesivo a lo largo del tiempo de las conductas de un caso antes, durante y en algunos casos, tras la retirada del tratamiento.
Estudio piloto
Los estudios piloto se caracterizan porque son esencialmente exploratorios. Este método suele utilizarse previo a la realización de un experimento más profundo.
Gracias a los estudios piloto es posible orientar una investigación, pues se puede dar mayor base a posibles hipótesis que luego podrán ser comprobadas en un estudio de mayor envergadura.
Dentro de un estudio piloto se consideran pocas variables y no hay un control demasiado estricto sobre estas. Sin embargo, vale acotar que este método de estudio tiene validez y seriedad: no por ser exploratorio es incorrecto, solo se considera incompleto.
Algunos especialistas prefieren no utilizar estudios piloto, sino enfocar sus esfuerzos cuanto antes en el problema central. Sin embargo, la realización de estudios piloto puede ayudar a dar un basamento más serio a las hipótesis que se ha planteado.
Puede ocurrir que en medio de una investigación de otro tipo exista alguna falla con las variables consideradas; en ese caso dicho estudio puede considerarse como piloto, lo que implica que posteriormente se volverán a llevar a cabo las observaciones, pero contando con la información recabada en el estudio piloto.
Método cuasi-experimental
El método cuasi-experimental constituye un método de investigación que pretende potenciar el estudio de problemas de relevancia social y profesional.
Los aspectos que se estudian a través de este método no son trasladables al laboratorio pero requieren ser examinados mediante procedimientos controlados.
Comparte con el método experimental la evaluación de los efectos de una variable específica sobre otra variable de interés pero se diferencia a través de la ausencia de asignaciones aleatorias en los grupos experimentales.
Estudio con gemelos
Este tipo de estudio se realiza especialmente para identificar las influencias que pueden tener los ámbitos ambiental y genético en los comportamientos de las personas. El estudio con gemelos es la metodología más eficiente para ahondar sobre las implicaciones genéticas en diversos aspectos de los individuos.
Estos estudios consideran la comparación entre gemelos monocigóticos (aquellos cuyo origen es un solo cigoto) y gemelos dicigóticos (aquellos que se generaron en dos cigotos diferentes). Los gemelos monocigóticos son genéticamente iguales, mientras que los dicigóticos comparten solamente la mitad del genoma.
Por lo tanto, compararlos en un estudio psicológico permite corroborar cuáles factores genéticos y ambientales intervienen en diferentes escenarios, como el fenotipo, las conductas y la propensión a ciertas enfermedades.
La principal ventaja del estudio con gemelos es que permite descartar variables que puedan ser confusas o que influyan más de lo deseado en un ámbito en específico. Al utilizar este método se cuenta con un escenario bastante controlado gracias al que pueden hacerse análisis más completos.
Cuestionarios
En psicología, un cuestionario es un listado de preguntas que tienen la intención de obtener más información sobre un sujeto o un grupo de sujetos con relación a un contexto determinado.
Todas las preguntas del cuestionario están interrelacionadas; por ello este suele percibirse como una entrevista escrita.
Una de las ventajas del uso del cuestionario es que no es necesario que el especialista esté presente mientras el sujeto lo rellena; sin embargo, esto también puede ser visto como una desventaja, pues es muy probable que se pierda información relevante, como aquella relacionada con la conducta del sujeto mientras lleva a cabo la actividad.
Por esta razón los cuestionarios suelen utilizarse cuando se trabaja con poblaciones amplias: a través de este método se puede acceder a estos sujetos de manera más rápida y efectiva. Así como en el caso de las entrevistas, las preguntas de los cuestionarios pueden ser abiertas o cerradas.
Encuestas
Las encuestas permiten operacionalizar las variables que se están considerando para una investigación determinada. Su estructura debe basarse en preguntas escogidas con precisión para que la información obtenida responda a las cuestiones que se han planteado los especialistas.
A través de las encuestas se pueden inferir los sentimientos generales de una población con relación a un tema determinado. Son una vía para recopilar información de forma tal que pueda analizarse desde el punto de vista estadístico.
Observación

El método observacional es un tipo de investigación que se basa en la observación de la conducta espontánea de las personas en un contexto natural.
Este tipo de investigación trata de conciliar el nivel de sistematización y rigor para elaborar conocimiento científico con la protección del grado máximo de realismo.
Dentro del método observacional existe la observación directa, indirecta y participante.
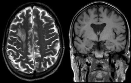
Neuroimagen
Se trata de una técnica que se utiliza para diagnosticar y para evaluar en el contexto cognitivo. Gracias a imágenes generadas a través de tomografías los especialistas pueden comprender mucho mejor cómo funciona en cerebro.
Desde la comprensión de procesos de la mente, como el aprendizaje y la memoria, es posible generar tratamientos efectivos para patologías que se relacionen con estos elementos.
Este método permite la observación en tiempo real de distintos procesos mentales. Gracias a esto también será posible generar nuevas líneas de investigación.
Modelos informáticos
Este tipo de estudio es usado sobre todo por especialistas del área cognitiva y la finalidad principal es estudiar los procesos mentales.
Se trata de programas informáticos que simulan los procesos mentales, concentrando los esfuerzos en un segmento determinado de dichos procesos. En la creación de estos modelos intervienen científicos y especialistas en computación.
En estos casos se parte de la concepción de una teoría. Posteriormente se crea un prototipo informático a partir del cual se pueda confirmar o refutar dicho planteamiento.
Referencias
- “Research methods” en: Simply Psychology. Recuperado en: 02 Febrero 2019 de Simply Psychology: simplypsychology.com.
- “Research methods” en: Spark Notes. Recuperado en: 02 Febrero 2019 de Spark Notes: sparknotes.com.
- “Introduction to Psychology/Research Methods in Psychology” en: WikiBooks. Recuperado en: 02 Febrero 2019 de WikiBooks: en.wikibooks.org.
- “Psychology Research Methods Study Guide” en: VeryWell Mind. Recuperado en: 02 Febrero 2019 de VeryWell Mind: verywellmind.com.
- “List of psychological research methods” en: Wikipedia. Recuperado en: 02 Febrero 2019 de Wikipedia: en.wikipedia.org.